Zum Hauptinhalt springen
Start
Zahnmedizin
Zahnästhetik
Zahnfunktion
Wurzelkanalbehandlung
Implantologie
Prophylaxe & Parodontologie
Invisalign®
Sportzahnmedizin
Ärzte & Team
Dr. Siegfried Marquardt
Dr. Julia Difloe-Geisert
Publikationen
Karriere
Termin & Kontakt
Praxis
Partner
Netzwerk
Aktuelles
Praxis
Partner
Netzwerk
Aktuelles
Start
Zahnmedizin
Zahnästhetik
Zahnfunktion
Wurzelkanalbehandlung
Implantologie
Prophylaxe & Parodontologie
Invisalign®
Sportzahnmedizin
Ärzte & Team
Dr. Siegfried Marquardt
Dr. Julia Difloe-Geisert
Publikationen
Karriere
Termin & Kontakt
Behandlungsbeispiele
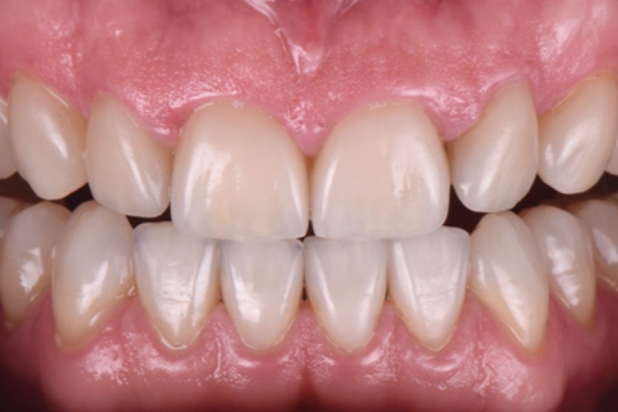
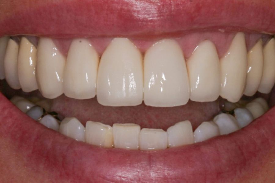
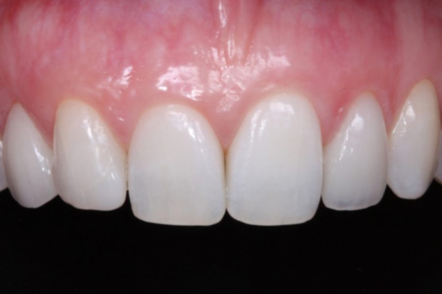
Ästhetische Vollkeramikkronen
Beispiele ansehen
Veneers - Keramikverblendschalen
Beispiele ansehen
Ästhetische Vollkeramikkronen auf Implantaten
Beispiele ansehen
Herausnehmbarer Zahnersatz auf Implantaten
Beispiele ansehen
Unsere Lösungen für
Ihre Zahngesundheit
Zahnästhetik
Behandlungen ansehen
Zahnfunktion
Behandlungen ansehen
Implantologie
Behandlungen ansehen
Prophylaxe & Parodontologie
Behandlungen ansehen
Invisaglin
Behandlungen ansehen
Sportzahnmedizin
Behandlungen ansehen